ARSHI Veterinary Letters (ARSHI Vet Lett) (e-ISSN: 2581-2416) is an open-access, peer-reviewed journal published four times a year in February, May, August, and November by the School of Veterinary Medicine and Biomedical Sciences, IPB University—formerly the Faculty of Veterinary Medicine (Rector Letter No. 328)—in collaboration with the Indonesian Veterinary Hospital Association (ARSHI). Established in 2017, the journal has been accredited SINTA 4 based on Decree No. 79/E/KPT/2023 dated May 11, 2023.
ARSHI Veterinary Letters is dedicated to publishing concise, clinically relevant, and practitioner-oriented articles in the field of veterinary medicine and animal biomedical sciences. The journal aims to disseminate veterinary knowledge that is scientifically sound and practically applicable, particularly through publications that strengthen the linkage between academic research, diagnostic advancement, and everyday veterinary practice.
The journal particularly emphasizes clinical case-driven, case-based, and practice-oriented contributions, including case reports, case series, short clinical communications, and other applied studies that support evidence-based decision-making in animal health, disease diagnosis, treatment, prevention, and management. In addition to clinically focused reports, the journal also welcomes studies that contribute to the development of veterinary diagnostics, therapeutic approaches, biomedical applications, and animal health services.
The scope of the journal includes, but is not limited to, small animal medicine and surgery, large animal and production animal medicine, theriogenology and veterinary reproduction, diagnostic imaging, clinical pathology, anatomic pathology, histopathology, parasitology, microbiology, virology, mycology, infectious and zoonotic diseases, pharmacology, therapeutics, preventive medicine, epidemiology, veterinary public health, wildlife and exotic animal medicine, animal welfare, and biomedical innovations relevant to veterinary science and practice.
ARSHI Veterinary Letters welcomes manuscripts involving companion animals, livestock, poultry, wildlife, exotic animals, laboratory animals, and other animal species of veterinary importance. Priority is given to submissions that offer clear clinical relevance, practical value, diagnostic insight, therapeutic novelty, or educational benefit for veterinarians, clinicians, researchers, academics, and veterinary students.
All articles published in ARSHI Veterinary Letters are openly accessible to readers worldwide. The journal has been indexed in Crossreff, WorldCat, Scilit, Dimension, EBSCO, LensScholar, Google Scholar, Microsoft Academia, and is under evaluation for inclusion in additional indexing and abstracting services.
Creative Commons Licence
All published works in ARSHI Veterinary Letters are licensed under the Creative Commons Attribution-ShareAlike 4.0 International License (CC BY-SA 4.0).
Current Issue
Cover: under process.
ARSHI Veterinary Letters (ARSHI Vet Lett) (e-ISSN: 2581-2416) is an open-access, peer-reviewed journal published four times a year (February, May, August, and November) by the School of Veterinary Medicine and Biomedical Sciences, IPB University—formerly the Faculty of Veterinary Medicine (Rector Letter No. 328)—in collaboration with the Indonesian Veterinary Hospital Association (ARSHI). Established in 2017 and accredited SINTA 4 (Decree No. 79/E/KPT/2023, May 11, 2023), the journal focuses on clinical case–driven and practitioner-oriented studies in veterinary medicine. It aims to disseminate clinically relevant veterinary knowledge through case-based research, diagnostic innovations, and applied biomedical findings that bridge academic research and daily veterinary practice. ARSHI Vet Lett welcomes submissions covering not limited to case reports, clinical studies, diagnostic imaging, pathology, pharmacology, reproduction, zoonotic diseases, and biomedical innovations. All articles published in ARSHI Vet Lett has been indexed in: Crossreff, WorldCat, Scilit, Dimension, EBSCO, LensScholar, Garuda, Google Scholar, Microsoft Academia, and being process for other directory of research journal index

This work is licensed under a Creative Commons Attribution-ShareAlike 4.0 International License.
Case Study
-
Surgical management of a digital mast cell tumor in a geriatric mixed-breed female dog
Abstract : 141Full text PDF : 24 Read Online XML : 18 -
Clinical management of thermal dermatitis in a domestic shorthair cat
Abstract : 185Read Online XML : 7 Full text PDF : 79 -
Clinical presentation, cytological findings, and surgical outcome of a suspected benign epithelial neoplasm in a dog
Abstract : 50Full text PDF : 8 SUPPORTING INFORMATION : 9 -
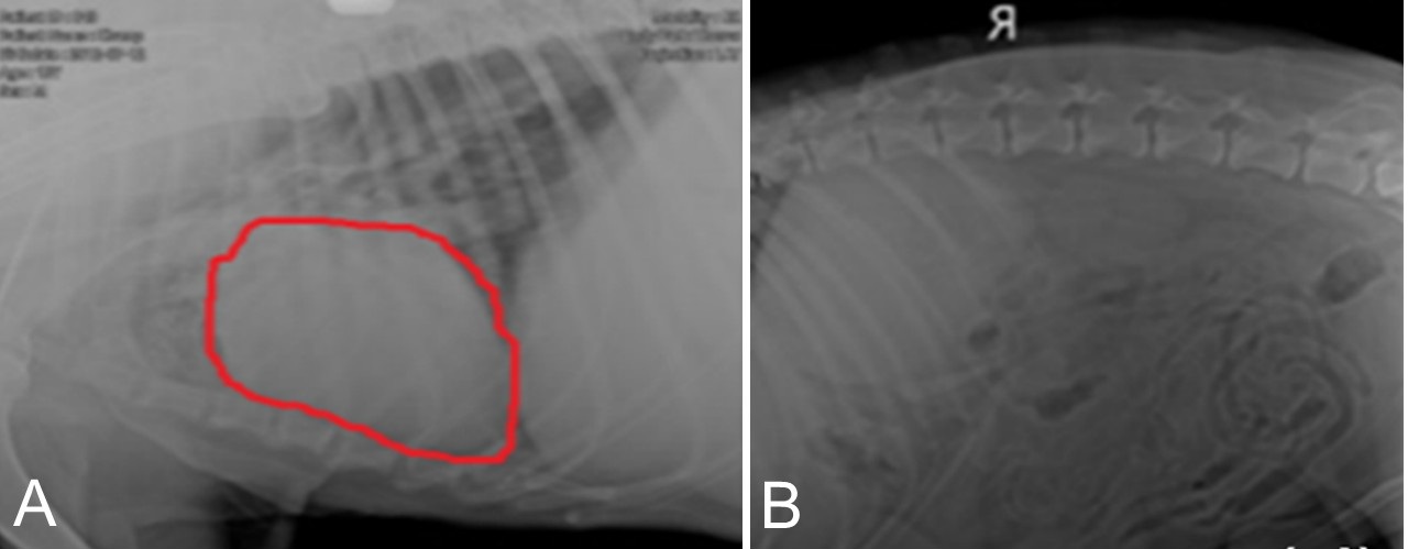
Multiorgan dysfunction in a geriatric dog with congestive heart failure complicated by chronic kidney disease and uremic enteritis
Abstract : 456Read Online XML : 4 Full text PDF : 56 -
Obstetrical management of postpartum uterine prolapse in a smallholder Angus beef cow
Abstract : 138Read Online XML : 8 Full text PDF : 47 -
Presumptive feline hemotropic mycoplasmosis in a domestic cat with anemia, thrombocytopenia, and epistaxis
Abstract : 149Read Online XML : 4 Full text PDF : 21
Articles
-
Effects of lemongrass (Cymbopogon citratus) on blood profile and uric acid levels of rats
Abstract : 131Read Online XML : 3 Full text PDF : 47 -
Temperament profiles and social compatibility in captive female long-tailed macaques (Macaca fascicularis)
Abstract : 206Full text PDF : 28 SUPPORTING INFORMATION : 9




