Infiltrasi Limfosit dan Makrofag di Lamina Propria dari Ileum Ayam Pedaging dengan Penambahan Aloe Vera pada Pakan
DOI:
https://doi.org/10.29244/avi.5.1.37-41Keywords:
Aloe vera, ayam pedaging, imunomodulator, makrofag, limfositAbstract
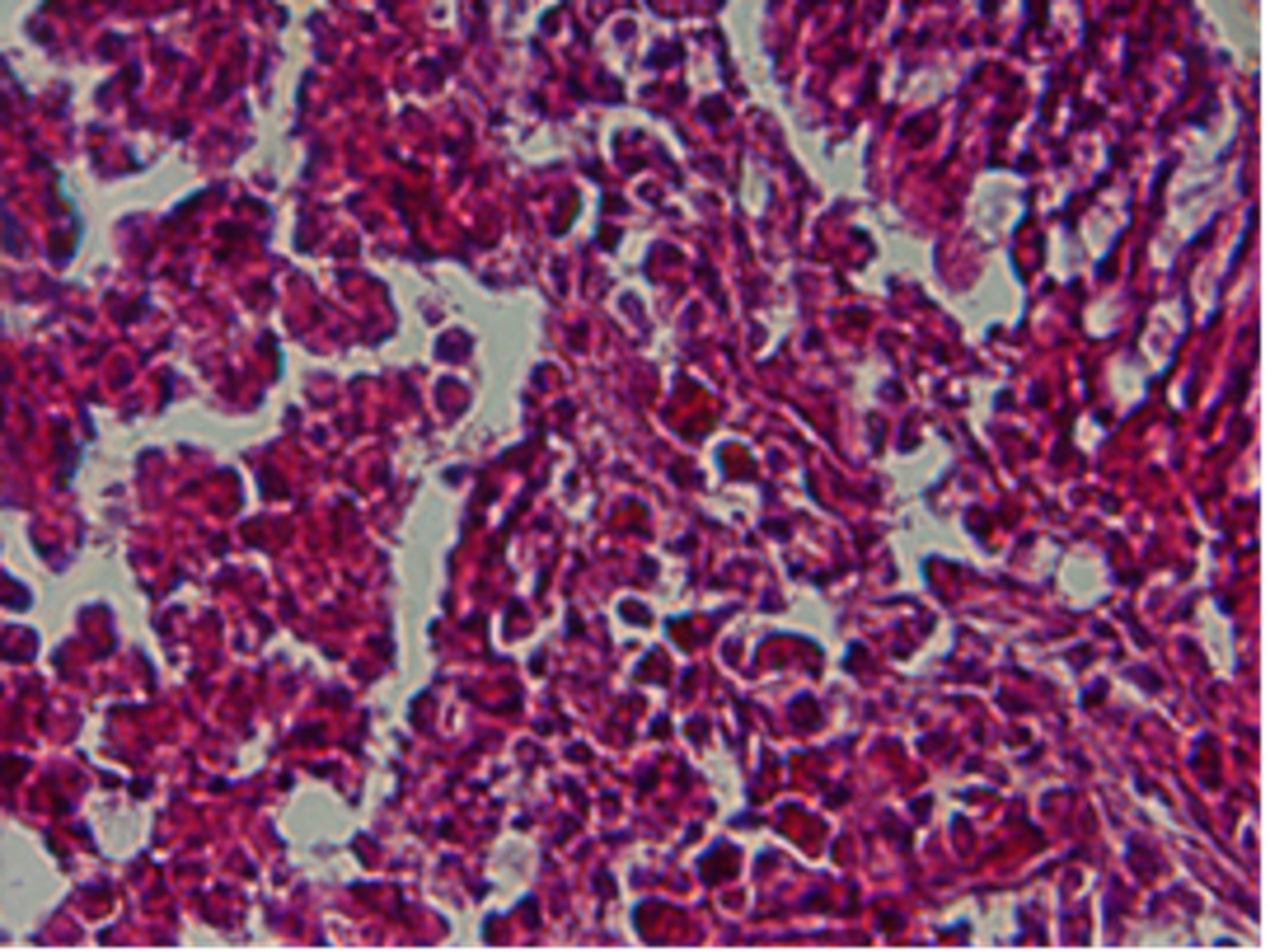
Aloe vera adalah salah satu fitofarmaka yang dapat digunakan sebagai imunomodulator. Khasiat lidah buaya sebagai obat herbal telah diketahui sejak 1500 sebelum masehi. Pengaruh pemberian lidah buaya pada pakan ayam pedaging terhadap infiltrasi makrofag dan lmfosit pada lamina propria ileum diamati melalui pemeriksaan preparat histologi ileum. Hewan coba yanng digunakan adalah 32 ekor ayam pedaging yang dibagi dalam 8 kelompok perlakuan yang terdiri dari 2 group kontrol, 3 kelompok perlakuan kering dengan dosis 0,5%, 1% dan 1,5%; serta 3 kelompok perlakuan basah dengan dosis 0,5%, 1% dan 1,5%. Data yang diperoleh diuji dengan Anova pola faktorial dilanjutkan dengan uji Duncan. Pada penelitian ini tidak didapatkan interaksi antara bentuk (kering dan basah) Aloa vera namun memberikan pegaruh terhadap jumlah limfosit lamina propia ileum pada perbedaan pemberian dosis. Penambahan Aloe vera tidak mengakibatkan peningkatan jumlah makrofag lamina propria namun diguga berperan dalam aktivasi kerja dari makrofag. Berdasarkan hasil penelitian, dapat disimpulkan bahwa Aloe vera dalam bentuk kering dan basah dengan menggunakan tiga tingkatan dosis pada ayam pedaging dapat meningkatkan infiltrasi limfosit di lamina propria dari ileum tanpa mempengaruhi jumlah infiltrasi makrofag.
Downloads
Downloads
Published
Issue
Section
License
This journal provides immediate open access to its content on the principle that making research freely available to the public supports a greater global exchange of knowledge.
All articles published Open Access will be immediately and permanently free for everyone to read and download. We are continuously working with our author communities to select the best choice of license options, currently being defined for this journal is licensed under a Creative Commons Attribution-ShareAlike 4.0 International License (CC BY-SA).