Selection of Lactic Acid Bacteria as Probiotic Candidate for Chicken
DOI:
https://doi.org/10.5398/medpet.2015.38.2.138Abstract
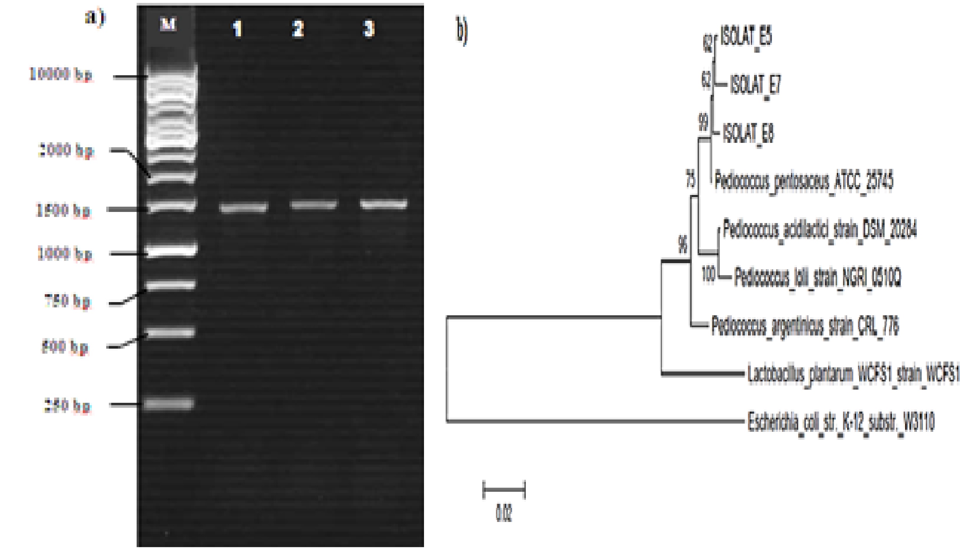
Lactic acid bacteria (LAB) regarded as safe microorganisms; they can naturally live in gastrointestinal tract, so appropriately used as a probiotic for chicken. This study aimed to select six isolates of LAB (E1223, E3, E4, E5, E7, and E8) to obtain the isolates potentially as probiotic candidate for chicken. The six isolates were derived from spontaneous fermented corn obtained from Laboratory of Animal Biotechnology and Biomedical, PPSHB, Bogor Agricultural University, Indonesia. LAB isolates were tested their susceptibility to antibiotics (bambermycin, erythromycin, chloramphenicol, and tetracycline) then were examined in vitro for their tolerance to gastrointestinal pH (2, 3, 4, and 7.2) and 0.5% bile salt condition, antimicrobial activity against Salmonella enteritidis and Enterococcus casseliflavus, and ability to adhere to chicken ileal cells. The results showed the isolates E5, E7, and E8 were sensitive to tetracycline and chloramphenicol, they could survive at pH 2, 3, 4, and 7.2, could survive at 0.5% bile salts, produced antimicrobial activity, and able to adhere to ileal cells (9.40±0.00 Log CFU/cm2 of E8) and were significantly (P<0.05) higher than those of control (5.30±0.14 Log CFU/cm2). In conclusion, this study showed that isolate E8 had better potential compared to isolates E5 and E7 in most in vitro assays as a probiotic candidate for chicken. E5, E7, and E8 were closely related with Pediococcus pentosaceus based on 16S rRNA gene.
Key words: LAB, probiotic, chicken, in vitro
